年底的日历越翻越薄,酒局饭局的邀约却越堆越多。刚陪客户喝完高度白酒,又赶去跟部门同事涮火锅,回到家胃里反酸到凌晨三点还睡不着;连赶项目时随便点的重油外卖,都能让你胀气嗳气一下午。
你以为这只是 “吃太撑”“喝太猛” 的小毛病?反复的肠胃不适其实是你的胃肠道黏膜屏障在 “报警”!
胃肠的 “隐形铠甲”黏膜屏障有多重要?
胃肠道黏膜是守护我们消化健康的第一道防线,它就像一张立体的防护网,不仅能阻挡细菌、毒素入侵,还承担着全身的免疫功能。一旦这层屏障受损,就可能引发糜烂、溃疡、动力紊乱,甚至让幽门螺杆菌、炎症趁虚而入。
中华医学会消化病学分会的专家共识明确指出:黏膜屏障的损伤与修复,是慢性胃炎、炎症性肠病等多种肠胃病的核心机制。
生活中,损伤胃肠黏膜的 “凶手” 无处不在
想要稳住肠胃健康,保护黏膜屏障才是关键!
天然守护者,岩藻多糖展现 “硬核实力”
在众多护胃成分中,源自褐藻的岩藻多糖(fucoidan)凭借天然、多效的特点脱颖而出,堪称胃肠道黏膜的 “专属保镖”。它是一种含硫酸基的活性多糖,存在于海带、裙带菜等褐藻中,作为食源性天然产物,国内外大量研究证实:岩藻多糖能从多维度守护肠胃健康。

岩藻多糖加固胃黏膜防线
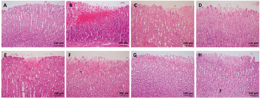
Kan团队研究了小麦肽和岩藻多糖(WPF)组合对乙醇诱导的大鼠胃溃疡的保护作用[1],证实其主要从以下四个方面保护胃黏膜:
1、抗氧化:WPF通过降低MDA水平和提高SOD活性,减轻氧化应激,保护胃黏膜。
2、抗炎作用:WPF通过降低IL-8和PAF水平,抑制炎症反应。
3、促细胞存活:WPF通过提高PGE2和EGF水平,促进细胞存活,并通过增加EGFR表达来促进胃黏膜修复。
4、EGFR-ERK信号通路:WPF激活EGFR-ERK信号通路,可能参与促进细胞存活和修复胃黏膜。

实验大鼠胃黏膜取材H-E染色:(A)naive对照;(B)模型对照;(C)低剂量WPF(108毫克/千克);(D)中剂量WPF(217毫克/千克);(E)高剂量的WPF(325毫克/公斤);(F)岩藻多糖(50毫克/公斤);(g)小麦肽(167 mg/kg);(h)西米替丁(65 mg/kg).
岩藻多糖修复肠黏膜屏障
实验研究岩藻多糖对葡聚糖硫酸钠(DDS)诱导的结肠炎小鼠胆汁酸(BA)代谢和肠道微生物群变化的影响(如下图)。

结果表明:岩藻多糖(FUC)能有效抑制结肠炎症并修复肠道屏障。岩藻多糖增加了毛螺菌科的相对丰度,如Turicibacter、Muribaculum、Paraspertella和Colidextribacter,随后增加了短链脂肪酸,特别是丁酸。并且,岩藻多糖通过升高胆酸、熊去氧胆酸、脱氧胆酸和石胆酸以及降低β-鼠胆酸来调节胆汁酸代谢,这导致胆汁酸的特异受体法尼醇X受体(FXR)和G蛋白偶联受体(TGR5)的激活,进一步增强肠道屏障并抑制结肠炎症[2]。

明月海藻,国内岩藻多糖专业厂家
明月海藻,深耕海藻产业58年的企业,在2019年,突破岩藻多糖行业技术瓶颈,获批建成国内首条食品级岩藻多糖生产线,成为国内率先取得岩藻多糖食品生产许可资质的企业。依托纯净海域优质原料供应,明月海藻从源头把控品质,其研发的BMSFu®岩藻多糖,通过专利动态逆流提纯技术生产,功效基团含量高,脱盐脱腥脱碘,去除重金属,品质更可靠!



